>

JR武蔵小金井駅から徒歩2分|駐車場完備|インプラント治療に特化した歯科医院

武蔵小金井カクタスデンタルクリニック

ご予約・お問い合わせ

電話番号 042-316-3977

【診療時間】9:30-13:00/14:30-18:30 【休診日】日曜・祝日休診

インプラント無料相談60分

カレンダーアイコン

24時間受付中
WEB予約はこちらから

JR武蔵小金井駅から徒歩2分|駐車場完備|
インプラント治療に特化した歯科医院

院長と患者様の写真
私たちは、
患者さま一人ひとりの想いに寄り添い
安全で効果的なインプラント治療
ご提供します。
しっかり
噛みしめる喜びを
あなたとともに。

武蔵小金井
カクタスデンタルクリニック

院長 安田 佑

下矢印

私たちは、患者さま一人ひとりの想いに寄り添い
安全で効果的なインプラント治療をご提供します。

QUALIFICATION

難症例にも対応できる
確かな知識と技術。

安心してお任せいただけるよう、
豊富な経験をもとに
インプラント治療をご提供します。

  • 経歴

    明海大学歯学部卒業
    埼玉県大手法人歯科医院勤務
    安藤歯科インプラントクリニック 院長
    武蔵小金井CACTUS DENTAL CLINIC 開院

  • 資格・所属

    オステムインプラントマスターコース 修了
    日本口腔インプラント学会
    GCインプラント Tokyo society 修了
    ユニバーサルインプラント研究所会員
    デンタルヘルスアソシエート修了
    審美歯科 歯肉縁下形成 修了

資格や表彰状

歯科医療の未来のために。セミナーに登壇しました

歯科医療の発展に貢献するため、講演やセミナー活動にも力を入れております。
これまで培ってきたインプラント治療の知識と技術を、多くの先生方へ共有し、臨床現場へ還元しています。

12月22日から2026年1月18日まで。アーカイブ配信「なぜ最新のXガイドシステムを新規開業に? 新時代のデジタルインプラント診療とその機器選び」。参加無料。武蔵小金井CACTUS DENTAL CLINIC 安田佑先生。
Deltan「なぜ最新のXガイドシステムを新規開業に?新世代のデジタルインプラント診療とその機器選び」

専門医に不安も疑問も相談できる60

お口の状態やお悩みを丁寧にお伺いし、現在の状態をわかりやすくご説明します。
メリット・デメリットを含め、治療方法や選択肢をお伝えし、
無理におすすめすることは決してありません。
「自分にインプラントは合うのかな…」という不安も、安心してお話しください。

お口の状態やお悩みを丁寧にお伺いし、現在の状態をわかりやすくご説明します。
メリット・デメリットを含め、治療方法や選択肢をお伝えし、
無理におすすめすることは決してありません。
「自分にインプラントは合うのかな…」という不安も、安心してお話しください。

不安も疑問も解消して、
もう一度しっかり噛める未来へ

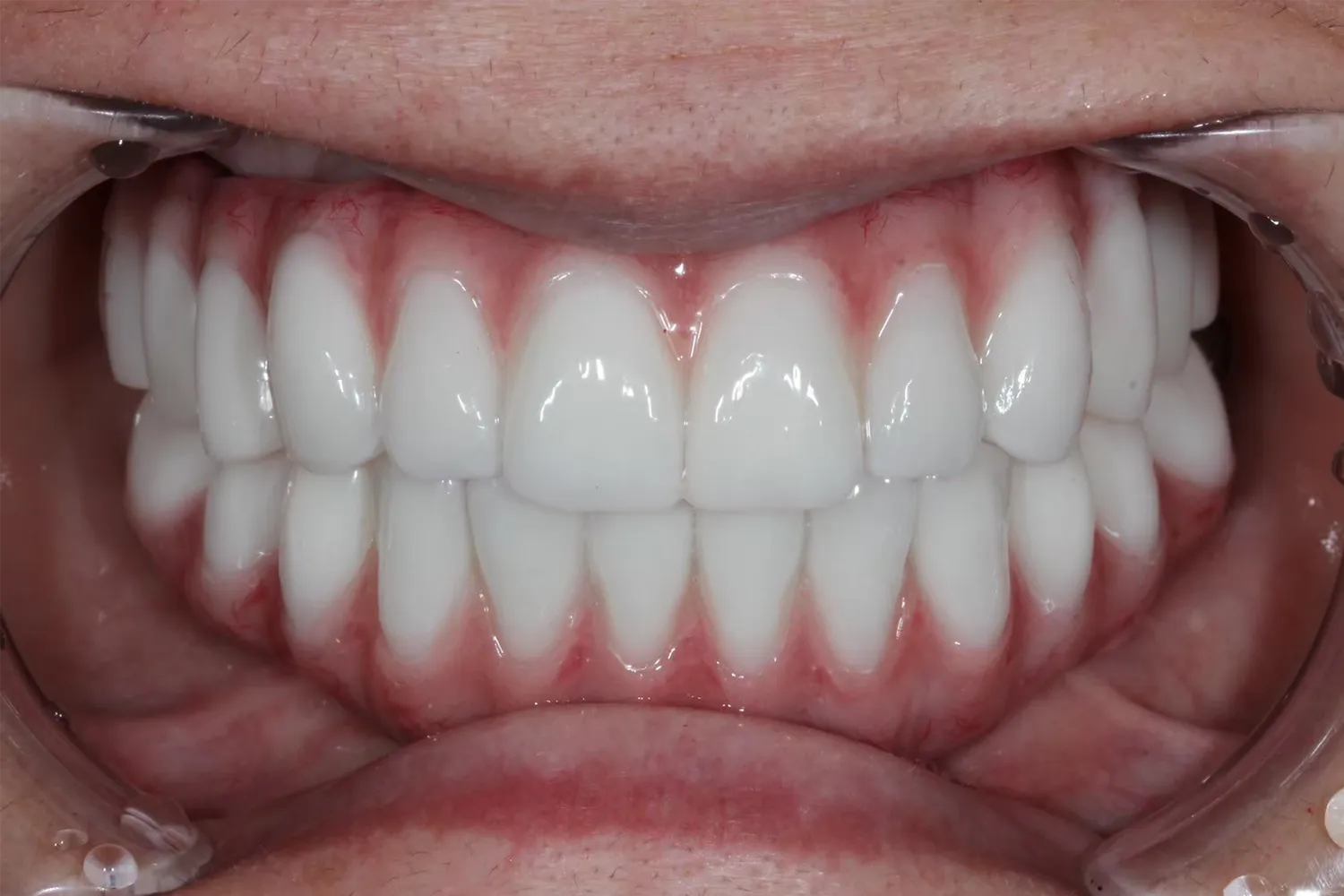
CASE STUDIES

埋入実績1000本以上!
症例の一部をご紹介

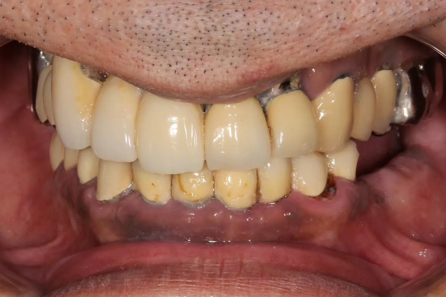
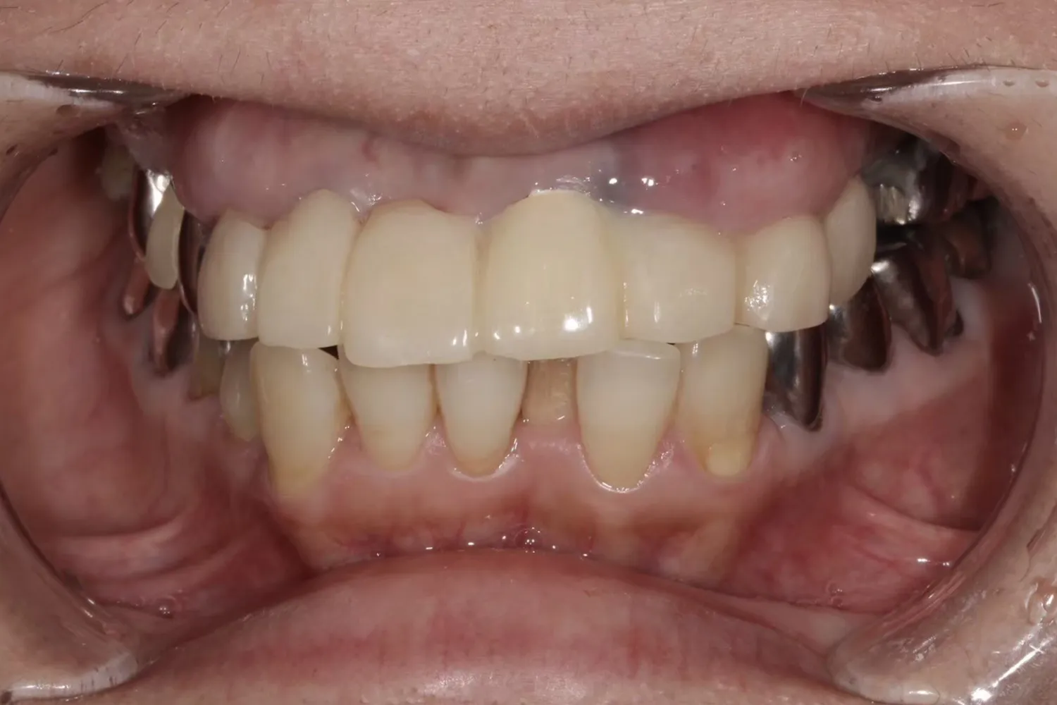
オールオン4の症例

  • BEFORE
  • AFTER

歯茎が腫れて痛い、噛み合わせがおかしい、仮歯で長期間放置したためグラつく

  • 治療内容

    オールオン4

  • 治療期間

    約4ヶ月

  • 費用

    約600万円

リスク

手術後約2週間の痛み腫れ、手術直後の出血、仮歯による違和感、神経損傷

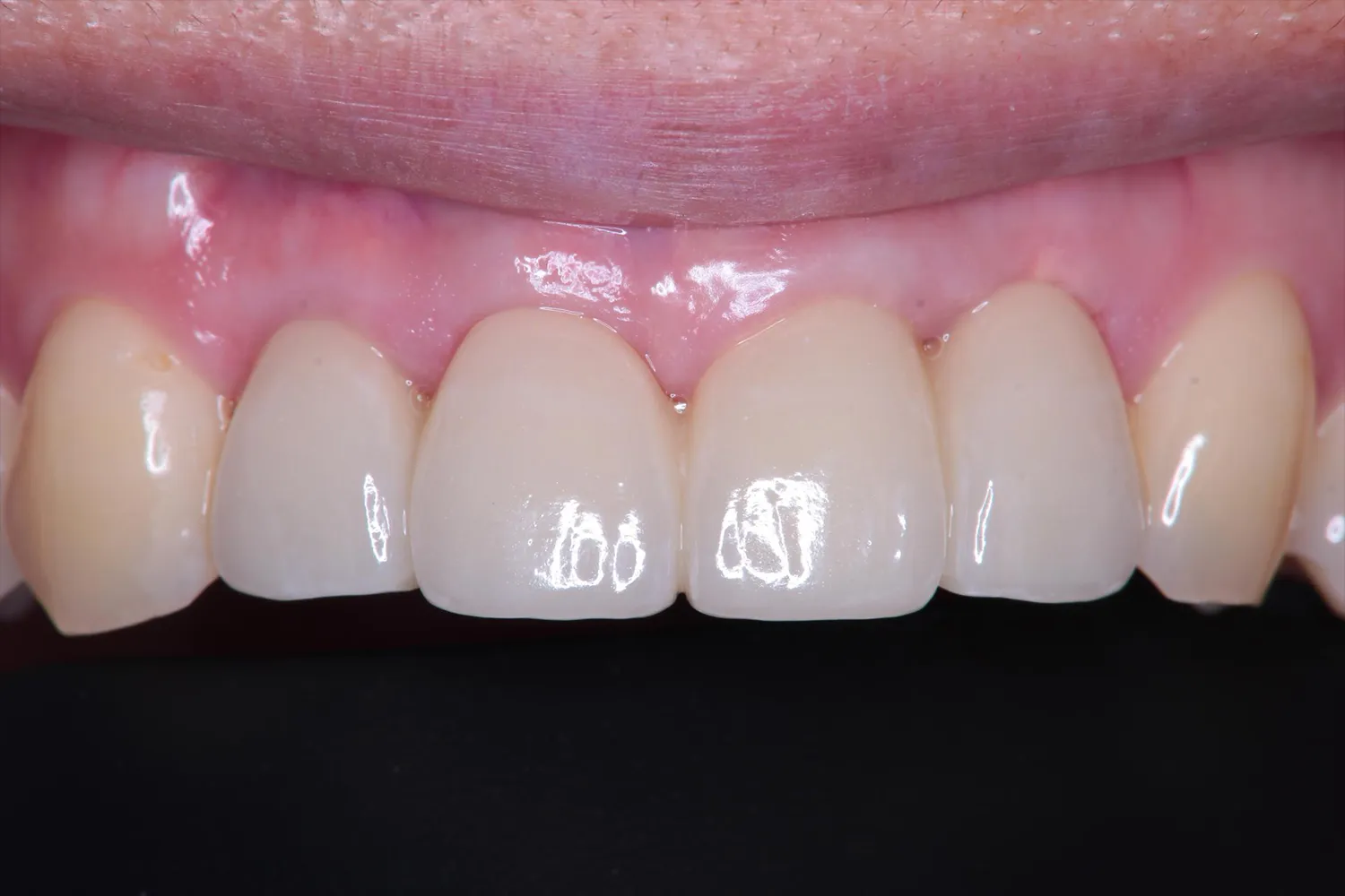
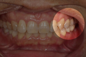
前歯のインプラントの症例

  • BEFORE
  • AFTER

噛むと前歯に違和感があり、被せ物の色も気になる

  • 治療内容

    前歯のインプラント

  • 治療期間

    約4ヶ月

  • 費用

    約130万円

リスク

術後の腫れ、痛み、歯肉が下がる

抜歯即時インプラントの症例

  • BEFORE
  • AFTER

左下の奥歯が取れて噛みづらい

  • 治療内容

    抜歯即時インプラント + 骨移植

  • 治療期間

    約4ヶ月

  • 費用

    約120万円

リスク

抜歯同時インプラント埋入時の術後の疼痛、腫れ、神経麻痺 骨移植時の感染

オールオン4の症例

  • BEFORE
  • AFTER

入れ歯が合わず、前歯がぐらつく、ゴルフで力が入らない

  • 治療内容

    オールオン4

  • 治療期間

    約4ヶ月

  • 費用

    約600万円

リスク

手術後約2週間の痛み腫れ、手術直後の出血、仮歯による違和感、神経損傷

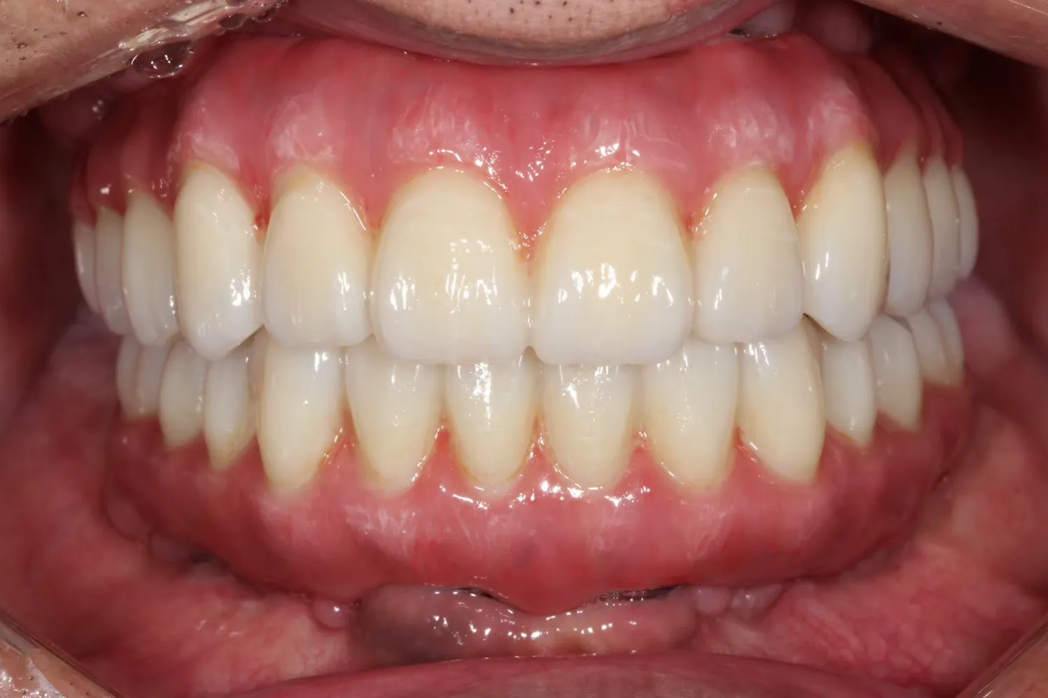
オールオン4の症例

  • BEFORE
  • AFTER

歯がグラグラで、入れ歯も合わず、食べ物が食べれない

  • 治療内容

    オールオン4

  • 治療期間

    約3ヶ月

  • 費用

    約600万円

リスク

手術後約2週間の痛み腫れ、手術直後の出血、仮歯による違和感、神経損傷

こんな歯のお悩み、
抱えていませんか?

  • 鏡で歯を見ている女性

    気がついたら
    いつの間に…

    • チェックアイコン

      どうしよう!歯がグラグラしてきた30代/女

    • チェックアイコン

      入れ歯が合わず、毎日が憂鬱70代/男

    • チェックアイコン

      家族や友達と笑顔で会話や
      食事をしたい50代/女

  • 歯磨きで歯を気にする男性

    あれ?前より
    悪化してるかも…

    • チェックアイコン

      糖尿病や骨粗鬆症だと、
      インプラント出来ないんでしょ?70代/女

    • チェックアイコン

      歯が抜けてしまったところって、
      そのままにしておいても良いのかな40代/男

    • チェックアイコン

      他院で「骨が足りないから出来ない」
      言われてしまった、、、60代/男性

そんなお悩みは

カクタスデンタルクリニックなら、
解決できます!!

まずは不安や疑問を
お聞かせください。
あなたに合った治療法を
一緒に考えていきましょう。

インプラント治療は、
ただ失った歯を補うだけではありません。
噛む力も、自然な見た目も、そして笑顔までも取り戻すことができます。

大好きな食事を心から味わえるようになり、
言葉がはっきりして会話に自信が戻り、子どものように自然に笑える。

その喜びは、毎日の生活を明るく照らし、
食べること・話すこと・笑うことそのすべてを輝かせてくれます。

ただし、インプラントは外科手術を伴う医療行為です。
だからこそ、確かな技術と安全な環境が欠かせません。

当院では、精密な検査と丁寧な治療計画のもと、
スタッフ一同が力を合わせて、あなたの未来の笑顔を支えていきます。

武蔵小金井カクタスデンタルクリニック 院長
安田 佑

お客様のお子様を見て微笑む院長の写真

院長の想い

食べる・話す・笑う。 快適な毎日を届けたい。

院長とお客様の家族との写真
院長とお客様の家族との写真

インプラントで変わる
あなたの人生!

笑顔でご飯を食べている女性の写真
  • セラミックの人工歯
    自然な笑顔を取り戻す
  • 顔立ちの変化を防ぎ
    若々しさキープ
  • 周囲の健康な歯を削らず
    多くの歯を守れる治療法
  • 毎日の取り外し不要
    手間いらずの快適さ
  • 歯磨きと定期的なメンテナンスで、
    10年先の安心
  • 栄養吸収発音
    認知機能姿勢の安定
    噛むことで全身健康
  • 顎の骨に固定するから、まるで自分の歯!
    違和感なく噛める!
  • セラミックの人工歯
    自然な笑顔を取り戻す
  • 歯磨きと定期的なメンテナンスで、
    10年先の安心
  • 顔立ちの変化を防ぎ
    若々しさキープ
  • 栄養吸収発音認知機能姿勢の安定
    噛むことで全身健康
  • 周囲の健康な歯を削らず
    多くの歯を守れる治療法
  • 毎日の取り外し不要
    手間いらずの快適さ
  • 顎の骨に固定するから、まるで自分の歯!
    違和感なく噛める!

当院は、
本気なあなた
全力で応援します!

専門医に不安も疑問も相談できる60

お口の状態やお悩みを丁寧にお伺いし、現在の状態をわかりやすくご説明します。
メリット・デメリットを含め、治療方法や選択肢をお伝えし、
無理におすすめすることは決してありません。
「自分にインプラントは合うのかな…」という不安も、安心してお話しください。

お口の状態やお悩みを丁寧にお伺いし、現在の状態をわかりやすくご説明します。
メリット・デメリットを含め、治療方法や選択肢をお伝えし、
無理におすすめすることは決してありません。
「自分にインプラントは合うのかな…」という不安も、安心してお話しください。

不安も疑問も解消して、
もう一度しっかり噛める未来へ

REASONS

武蔵小金井カクタス
デンタルクリニックが
選ばれる理由

  • 01
    1,000本以上の実績

    大学病院レベルの技術と
    1,000本以上の実績あり

    当院では、これまでに1,000本以上のインプラント治療を手がけてきた経験を活かし、大学病院のような技術を、地域の皆さまに身近にご提供しています。難症例や全顎的な治療にも対応可能で、専門的な研鑽を積んだ歯科医師が、一つひとつの症例と真摯に向き合い、丁寧に治療を進めます。「大学病院でないと難しい」と思われるようなケースも、豊富な経験と設備に基づいた確かな診断で、最適かつ安全な治療を実現します。患者さまが安心して治療を受けられるよう、治療の過程や選択肢をわかりやすくご説明し、納得いただいたうえで、一緒にゴールを目指してまいります。

  • 02
    徹底したヒアリング

    初回はじっくり60分以上
    徹底したヒアリング

    初診時には、60分以上かけてカウンセリングを行い、精密なCT撮影でお口や骨の状態をしっかり確認します。患者さまのお悩みやご希望を丁寧にお伺いし、インプラントが本当に適しているかどうかを正確に診断します。治療の流れや選択肢もわかりやすくご説明し、無理に治療を進めることはいたしません。納得いただけるまで時間をかけてご相談し、治療を始めるかどうかは患者さまご自身にご判断いただきます。

  • 03
    ノーベルバイオケア社・ストローマン社製インプラント

    世界シェアトップクラスを誇る
    ノーベルバイオケア社・ストローマン社製インプラントを採用

    インプラント治療の結果を大きく左右するのは、使用するインプラント体(人工歯根)の品質です。当院では、世界シェアトップクラスを誇るノーベルバイオケア社およびストローマン社のインプラント体を採用しています。長年の研究と開発によって、安全性・耐久性・成功率の高さが実証されており、多くの歯科医師から信頼されているブランドです。治療後も安定した噛み心地を保ち、長期的に安心して過ごしていただくために、インプラント素材にも一切の妥協はいたしません。

  • 04
    眠ったままで治療が受けられる

    無痛治療にも対応、
    眠ったままで治療が受けられる

    「インプラント手術が怖い」「不安がある」という方には、静脈内鎮静法(点滴麻酔)を用いた無痛治療をご用意しています。麻酔専門医と連携し、安全な環境のもと、まるで眠っているかのような感覚で手術を受けていただけます。ストレスや恐怖心をできる限り抑えることで、リラックスして治療に臨んでいただけます。過去に歯科治療でつらい経験をされた方や、高血圧・心疾患などの持病をお持ちの方も、安心して手術を受けていただけるよう配慮しています。

  • 05
    再生医療技術を活用可能

    骨が足りない方には、
    再生医療技術を活用可能

    歯周病の進行や長期間の欠損放置などにより顎の骨が痩せ、「骨が足りないためインプラントはできない」と診断されることがあります。当院では、そのような場合にも対応できる骨再生治療を行っています。ソケットリフト、サイナスリフト、GBR(骨誘導再生)などの技術を用い、骨の再生をサポート。安全にインプラントが埋入できる状態へ導きます。「もうできない」とあきらめる前に、ぜひ一度ご相談ください。患者さまが安心して治療に臨めるよう、最適な方法をご提案いたします。

  • 06
    ナビゲーションとAI解析

    ナビゲーションとAI解析で、
    安全かつ分かりやすい
    インプラント治療

    CT画像と連動したナビゲーションシステム「X-ガイド」を採用し、手術中のドリルの位置や角度をリアルタイムで確認しながら、正確かつ安全にインプラントを埋入します。骨や神経の位置を正確に把握することで、余分な負担や痛みを極力抑えられるのが特長です。骨の状態に合わせた微調整もでき、難症例にも柔軟に対応します。さらに、最新のAI解析や3Dシミュレーションを活用し、お口の状態や治療計画を視覚的にわかりやすくご説明。専門用語もかみ砕いてお伝えし、患者さまの不安を解消しながら、納得して治療を受けていただけるよう心がけています。

  • 07
    治療後もしっかりサポート

    10年間の保証制度あり、
    治療後もしっかりサポート

    当院では、インプラント治療後も安心してお使いいただけるよう、万一のトラブルにも対応できる保証制度を整えています。インプラント体には10年保証、上部構造(人工歯)には5年保証をお付けし、治療後の生活までしっかりサポートします。トラブルが発生した場合も、責任を持って対応いたします。患者さまに末永く快適にお過ごしいただけるよう、治療後も変わらぬサポートをお約束します。

治療の様子

骨の状態やご希望に合わせた

安心の治療オプション

当院では、患者さまのお身体や骨の状態、ご希望に合わせて、
より精度の高い治療方法を選択できます。

CHOICE01

抜歯後すぐにインプラントを入れる治療

抜歯後すぐにインプラント入れる治療

  • 抜歯即時埋入 即時荷重

    抜歯即時埋入・即時荷重

    その日のうちに仮歯まで
    ― 抜歯と同時のインプラント

    抜歯と同時にインプラントを埋入し、その日のうちに仮歯まで装着。手術回数や通院期間を抑え、見た目の違和感も軽減できます。

  • 抜歯早期埋入

    抜歯早期埋入

    早めの治療でもリスクは軽減
    ― 抜歯後1〜2ヶ月でのインプラント

    抜歯から1〜2ヶ月後の早い段階でインプラントを埋入。歯ぐきが治ってからの治療なので感染リスクが抑えられ、治療期間も短縮できます。

  • リッジプリザベーション

    リッジプリザベーション

    インプラントの理想的な土台を作る ― 骨を守って将来に備え

    抜歯後の骨吸収を防ぐ処置です。骨補填材などを使って骨の幅や高さを維持し、インプラントを安全に埋入する土台を整えます。

抜歯即時埋入 即時荷重

抜歯即時埋入・即時荷重

その日のうちに仮歯まで
― 抜歯と同時のインプラント

抜歯と同時にインプラントを埋入し、その日のうちに仮歯まで装着。手術回数や通院期間を抑え、見た目の違和感も軽減できます。

抜歯早期埋入

抜歯早期埋入

早めの治療でもリスクは軽減
― 抜歯後1〜2ヶ月でのインプラント

抜歯から1〜2ヶ月後の早い段階でインプラントを埋入。歯ぐきが治ってからの治療なので感染リスクが抑えられ、治療期間も短縮できます。

リッジプリザベーション

リッジプリザベーション

インプラントの理想的な土台を作る ― 骨を守って将来に備え

抜歯後の骨吸収を防ぐ処置です。骨補填材などを使って骨の幅や高さを維持し、インプラントを安全に埋入する土台を整えます。

CHOICE02

あきらめなくていい。
骨が少なくても選べる治療があります

あきらめなくていい。
骨が少なくても選べる治療があります

  • 骨造成

    骨造成(GBR)

    骨が足りなくても治療可能に
    ― 安全な土台を作ります

    骨の幅や高さが足りない部分に補填材を入れ、骨の再生を促します。安全にインプラントを埋入するための下地をつくる治療です。

  • ソケットリフト サイナスリフト

    ソケットリフト
    サイナスリフト

    骨を補って支えを強化
    ― 上顎の奥歯もしっかり支える

    上顎の奥歯など、骨が薄い部位に対して行う治療です。骨膜を押し上げ骨補填材を充填することで、インプラントがしっかり支えられる状態を整えます。

骨造成

骨造成(GBR)

骨が足りなくても治療可能に
― 安全な土台を作ります

骨の幅や高さが足りない部分に補填材を入れ、骨の再生を促します。安全にインプラントを埋入するための下地をつくる治療です。

ソケットリフト サイナスリフト

ソケットリフト
サイナスリフト

骨を補って支えを強化
― 上顎の奥歯もしっかり支える

上顎の奥歯など、骨が薄い部位に対して行う治療です。骨膜を押し上げ骨補填材を充填することで、インプラントがしっかり支えられる状態を整えます。

  • CHOICE03

    多数の歯を失っても
    快適な毎日を取り戻せます

    • インプラントオーバーデンチャー

      インプラントオーバーデンチャー

      入れ歯の弱点を克服 ―
      快適な使用感へ

      インプラントで入れ歯をしっかり固定する方法です。
      ガタつきやズレを抑え、外れやすい・噛みにくいといった入れ歯の不快感を軽減できます。

  • CHOICE04

    見た目も機能もワンランク上のインプラント治療

    • 遊離歯肉移植 軟組織移植

      遊離歯肉移植(FGG)/
      軟組織移植(CTG)

      見た目も清潔感もアップ ―
       歯ぐき移植治療

      歯ぐきが痩せてしまっている部分に、口腔内の粘膜から組織を移植し、自然な見た目と清掃性の高い環境を整えます。
      前歯部など審美性が求められる部位に効果的です。

カクタスデンタルクリニックなら、
できる。あきらめないで。

あなたに
きっと見つかります。

  • 骨が足りない・歯ぐきが薄い・難しいと言われた症例にも対応しています。

    「インプラントは無理」と診断された方も、再検討の余地があるかもしれません。
    また、他院での治療方針に不安を感じている方へ、セカンドオピニオンも随時受け付けています。
    まずは一度、お気軽にご相談ください。あなたにとって最適な治療方法を、私たちが一緒に考えます。

    治療の様子
    最適な治療法をご提案
  • 治療後の不安もしっかりカバー。
    安心の保証制度を整えています。

    当院施術のインプラントには保証制度を整えております。
    万が一のトラブルが起きた場合も責任を持って対応いたしますので、ご安心ください。

    院長の笑顔の写真
保証制度のイメージ

当院のインプラント保証システム

  • インプラント体
  • 上部構造

保証制度ご利用にあたってのご注意

  • 患者さまご自身の不注意や、予期せぬ事故による損傷などは、保証の適用外となります。
  • 保証の適用には、原則として3ヵ月ごとの定期メンテナンスの受診が必要です。
  • 噛み合わせに負担がかかりやすい方には、就寝時のマウスピース装着をお願いする場合があります。
  • ご自身の判断でインプラントの使用を中断されたり、当院の指示に従っていただけない場合には、保証の対象外となる可能性があります。

AFTER CARE

一生ものにするために、

術後こそ 大事にしたいケア

3〜6か月に1回の定期チェックをご案内しております

インプラントの写真

インプラントは、手術が終わって「完成」ではありません。
その後の定期的なメンテナンスこそが、快適に長く使い続けるためのポイントです。

特に注意が必要なのは 細菌感染(インプラント周囲炎) や 噛み合わせのずれ。天然の歯と違い、インプラントには異常を感じ取る組織がないため、セルフケアだけでは気づかないトラブルが起こることがあります。

当院では、患者さまのライフスタイルやお口の状態に合わせ、適切な間隔(目安は3〜6か月に1回)での定期チェックをご案内しています。
「一生もののインプラント」 にするために、ぜひ専門的なケアを続けていきましょう。

PRICE

世界が認めたインプラントを、
納得の価格

初回カウンセリングは無料

インプラントの写真

インプラント

1本 450,000 円〜
  • CT検査料込み
  • 上部構造(人工歯)込み
  • 手術費・検査費・診断料込み

※インプラント体・カスタムアバットメント・上部構造のすべてが上記金額に含まれます。
※骨造成などの追加処置が必要な場合は別途料金が発生しますが、事前にしっかりご説明いたします。

お支払いが
不安な場合は

デンタルローン
ご利用いただけます

デンタルローンご利用の場合

月々 5,800

※60回払いの場合のお支払い費用です。
※初回のお支払いのみ9,433円となります。

当院では、下記のお支払方法が可能です

  • お金アイコン

    現金

    現金でのお支払い

    現金でのお支払い

  • クレジットカードアイコン

    クレジットカード

    VISA/JCB/Mastercard
    アメリカンエキスプレス
    ダイナースクラブ

    VISA/JCB/Mastercard/アメリカンエキスプレス/ダイナースクラブ

  • 歯アイコン

    デンタルローン

    低金利分割払いでの
    お支払い

    低金利分割払いでのお支払い

医療費控除について

1年間(1月〜12月)に支払った医療費が10万円をこえた場合、税金の一部が戻ってくる「医療費控除」を受けられることがあります。
・ご本人の治療費だけではなく、同一家計のご家族が支払った医療費もまとめて申請が可能です。
・治療費の領収書や明細書などが必要ですので、大切に保管しておいてください。
詳しい条件や手続きについては、国税庁のホームページにてご確認ください。
国税庁「医療費を支払ったとき」:https://www.nta.go.jp/taxes/shiraberu/taxanswer/shotoku/1120.htm

ACCESS

JR武蔵小金井駅から
徒歩2分の駅近のクリニック

武蔵小金井カクタスデンタルクリニック

武蔵小金井カクタスデンタルクリニック
  • マップアイコン

    〒184-0004
    東京都小金井市本町5丁目9-6

  • 電車アイコン

    JR武蔵小金井駅から徒歩2分

  • 車アイコン

    医院横に駐車場4台完備

FLOW

ご予約後の流れ

  • 無料カウンセリングの予約
    STEP 01.

    無料カウンセリングの予約

    まずは本ページより無料カウンセリングをご予約ください。カウンセリングではお悩みやご希望を丁寧にお伺いし、不安や疑問にもわかりやすくお答えします。当院の方針や治療内容にご納得いただけましたら精密検査へと進みます。

  • 精密検査 診断
    STEP 02.

    精密検査・診断

    インプラント治療が適しているかを判断するために、CT撮影やレントゲン、噛み合わせ、歯周組織や骨の状態を詳しく確認します。なお、当院でインプラント治療を受けられる場合、精密検査の費用は治療費に含まれておりますのでご安心ください。

  • 治療計画のご提案
    STEP 03

    治療計画のご提案

    診断結果をもとに、インプラントの本数、手術の方法、治療期間、費用の見通しについてご説明いたします。気になる点があれば、どんなことでも遠慮なくご相談ください。

  • 手術 インプラント埋入
    STEP 04

    手術(インプラント埋入)

    経験豊富な歯科医師が、サージカルガイド(手術用テンプレート)を用いて、安全かつ正確にインプラントを埋入します。症例に応じて、1回法・2回法いずれにも対応しております。

  • 上部構造 人工歯の装着
    STEP 05

    上部構造(人工歯)の装着

    インプラントが骨としっかり結合した後、アバットメント(連結部)を装着し、その上に上部構造(人工歯)を取り付けます。天然歯に近い見た目と機能を追求し、審美性・機能性の回復をめざします。

  • メインテナンスと長期フォローアップ
    STEP 06

    メインテナンスと
    長期フォローアップ

    インプラントを長く安心してお使いいただくためには、定期的なメインテナンスが欠かせません。当院では、3〜6ヶ月ごとの定期検診と専門的なクリーニングを通じて、治療後のサポートにも力を入れています。

専門医に不安も疑問も相談できる60

お口の状態やお悩みを丁寧にお伺いし、現在の状態をわかりやすくご説明します。
メリット・デメリットを含め、治療方法や選択肢をお伝えし、
無理におすすめすることは決してありません。
「自分にインプラントは合うのかな…」という不安も、安心してお話しください。

お口の状態やお悩みを丁寧にお伺いし、現在の状態をわかりやすくご説明します。
メリット・デメリットを含め、治療方法や選択肢をお伝えし、
無理におすすめすることは決してありません。
「自分にインプラントは合うのかな…」という不安も、安心してお話しください。

不安も疑問も解消して、
もう一度しっかり噛める未来へ

  • Q

    インプラントの手術時間はどれくらいかかりますか?

    通常1本あたり 30分〜60分ほどですが、症例や処置内容により異なります。静脈内鎮静法を併用した場合でも、当日はリラックスして受けていただけます。

  • Q

    インプラントは何年もちますか?

    適切なメインテナンスを行えば、10〜20年以上使い続けることが可能です。定期的なクリーニングと噛み合わせの調整が長持ちの秘訣です。

  • Q

    インプラントに年齢制限はありますか?

    年齢制限はありませんが、全身の健康状態を考慮したうえで安全に治療が行えるかどうかを判断いたします。高齢の方にも適した方法をご提案しております

  • Q

    インプラントはどのくらい痛い?

    「手術が怖い」というお声は多いですが、インプラント手術は局所麻酔や静脈内鎮静法によって、ほとんど痛みを感じることなく受けることができます。術後のケア方法についても、しっかりとご説明いたしますのでご安心ください。

  • Q

    他院に通院していますが、相談だけでも可能でしょうか?

    セカンドオピニオンをご希望の患者さまも多く来院されていますので、どうぞお気軽にご相談ください。当院の治療方針のご説明を行い、ご提供可能な選択肢があればご案内いたします。

インプラント治療に関するご案内
注意事項・リスク・副作用について

  • 妊娠中または妊娠の可能性がある方は、薬剤の影響を考慮し、治療をお控えいただくことがあります。
  • 心臓疾患・糖尿病など内科的疾患や持病がある方は、治療の可否を慎重に判断させていただくため、事前に必ずお申し出ください。
  • 18歳未満の方は、顎の骨が成長過程にあるため、インプラント治療の適応外となります。
  • 全身の健康状態やお口の中の状況(重度の歯周病や虫歯など)によっては、インプラント手術の前に必要な治療から始めさせていただくことがあります。
  • 手術後に腫れや違和感、出血が見られることがありますが、多くの場合は数日以内におさまります。ご不安な点がございましたら、当院までご連絡ください。